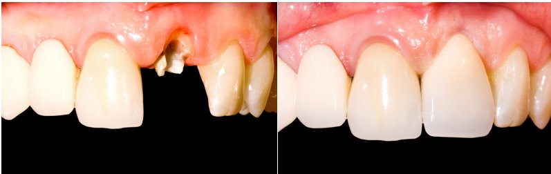
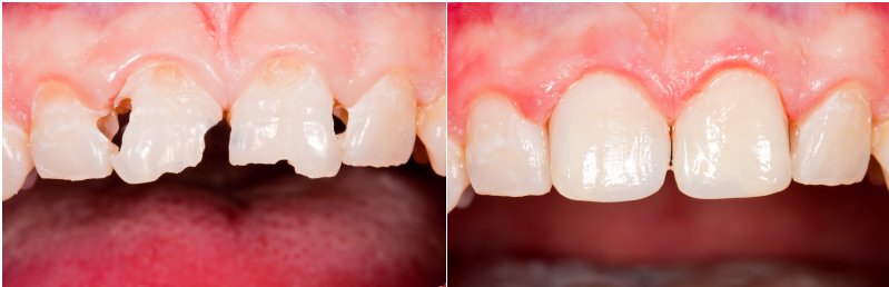
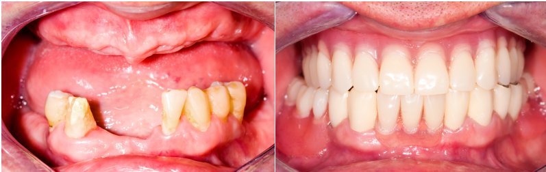
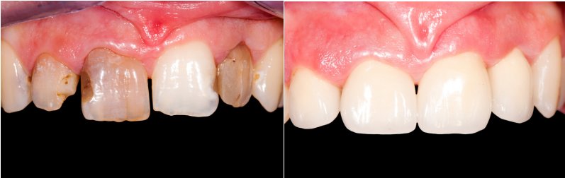
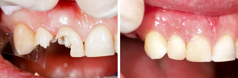
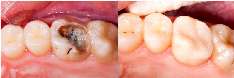
Before & After Library

If you have any questions about payments or the financing that is available, feel free to contact us today at (716) 297-1711.

Niagara Falls Blvd, N.Y. 14304
Mon-Sat: 8:00am - 9:00pm Sn: 8:00am - 5:00pm